
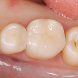
ジルコニア クラウン
人工ダイアモンドとも呼ばれるジルコニアという素材でつくる被せ物です。強度が非常に高いため、大きな負荷のかかる奥歯にも使用できます。白色で目立ちにくいですが、オールセラミックに比べるとやや審美性に劣ります。
- 予防性 ★★★★★
- 耐久性 ★★★★★
- 審美性 ★★★☆☆
セラミックの詰め物・被せ物は
古賀市天神の歯医者


お口と体の健康を支え、
自然な見た目も叶える
詰め物・被せ物
セラミック治療とは、虫歯やケガなどで欠損した歯や、形や見た目の悪い歯に対して、歯科用のセラミック(陶材)を使用して歯の機能と見た目を修復する、補綴(ほてつ)治療の一種です。
古賀市天神の歯医者 日高歯科医院では、銀歯による虫歯の再発や金属アレルギーの発症、見た目の違和感などでお悩みの方に、実績豊富な歯科医師×熟練の歯科技工士×デジタル技術の連携により、お口にぴったりフィットし、もちの良いセラミックの詰め物・被せ物治療をご提案しています。


欠けた歯や失った歯を、セラミックや金属の修復物で補う治療のことを補綴治療といいます。
補綴治療には様々な種類があり、材料や治療法によって修復物の適合性や見た目、保険適用されるかどうかなどが変わってきます。
※左右にスクロールしてご覧ください
|
セラミック(ジルコニア)
|
銀歯
|
強化プラスチック
|
ゴールド
|
|
|---|---|---|---|---|
| 保険適用 | 保険適用外 |
保険適用 | 保険適用 | 保険適用外 |
| 耐久性 | 劣化しにくく |
唾液や摩擦によって |
樹脂製のため |
劣化しにくく |
| 再発リスク | 汚れを吸着しにくく |
隙間ができやすく |
摩耗しやすく |
汚れを吸着しにくく |
| 金属アレルギー のリスク |
発症しない | 発症しやすい | 発症しない | 生体親和性が高く |
| かみ合わせ | 天然歯に近い自然な |
天然歯と硬さが異なり |
かみ合わせによっては |
程よい柔軟性があり |
| 適合性 | 劣化しにくいため |
劣化による |
劣化による |
劣化しにくいため |
| 見た目 | 白色で自然な見た目 | 銀色で目立つ |
白色で透明感があり |
金色で目立つ |



おすすめする理由
古賀市天神の歯医者 日高歯科医院では、精密セラミック治療だけでなく矯正歯科治療、ホワイトニング、幅広い治療に対応できる総合歯科医院です。歯科医師の得意分野を活かした診療体制と、熟練の歯科技工士の高い技術を組み合わせることで、治療する部位のみに限らず、噛み合わせが正しいか、歯の色や長さの調和が取れているかなど、口腔全体の機能や、将来の再発予防性にもこだわった包括的な治療をご提案いたします。
question
歯科技工士
とは?

様々なラボ(技工所)の勤務経験あり
大手ラボ、院内ラボ、少数精鋭ラボを経験し、様々な経験と実績を積んでいるため幅広い症例に対応でき、よりフィット感の高い補綴物の提供が可能です。
技術・設備への投資を
より良い補綴物をつくるために、セミナーや講習に参加し常に技術や知識の研鑽に努め、先進設備の導入も積極的に行っています。
自己投資、設備投資は惜しまず、患者様さん、歯科医師の先生方のご希望にぴったりフィットする補綴物を製作することに全力を尽くします。合わない入れ歯や詰め物・被せ物でお悩みの方はぜひご相談ください。
おすすめする理由
患者さんのお口は一人ひとり全く異なるため、お口のトラブルやお悩みを改善するためには、適切な問診、精密な検査・診断とその方に合わせた治療計画が必要です。
古賀市の歯医者 日高歯科医院は、セラミックとジルコニアによる治療の実績数が年間500本以上と豊富な実績を持っています。多くの症例に触れてきたからこそ可能な、柔軟かつ信頼性の高い治療計画をご提案できます。
おすすめする理由
テクノロジーの活用で、今までの歯科医療ではできなかったより詳細な検査や、歯の内部の細かな処置が可能になっています。
当院では、精密検査を行う上で欠かせない3DCTをはじめ、快適かつ精密に歯型取りができる光学スキャナー「プライムスキャン」や、視野を肉眼の何十倍にも拡大できるマイクロスコープなど多くの先進機器を導入。より精度の高い診断・治療により健康な天然歯をわずかでも残し、修復物の適合性を格段に高めることができています。
おすすめする理由
古賀市の歯医者 日高歯科医院ではセレック(CAD/CAM装置)を導入しており、スキャニングで採取した歯型をもとに、詰め物や被せ物の設計から加工までを院内で行うことができます。これにより、場合によっては1日で治療を完了することができます。
通院の負担軽減だけでなく、仮歯期間中の虫歯の再感染を予防することができます。患者さんのご都合に合わせて、より迅速で効率的な治療を提供しています。
CAD/CAMとはコンピュータ上でものを設計し、その設計データを元に自動制御によりものを作り上げることをいいます。セレックはこのCAD/CAMの仕組みにより歯の修復物(詰め物・被せ物)を設計・製作するためのシステムで、古賀市の歯医者 日高歯科医院ではセレックの活用により1日で治療が完了する「1DAYトリートメント」を実現しています。
おすすめする理由
専任のカウンセラーがじっくり伺います
不安や疑問が残ったまま治療を受けられることのないよう、当院では専任のカウンセラーが問診から治療説明などを丁寧に行い、歯科医師には直接聞きづらい・言いづらいこともお話ししやすい環境を整えています。
かかりつけ歯科医院での診断に不安がある方や、別の意見も聞きたいという方に向けて、セカンドオピニオンにも対応しています。
おすすめする理由
5年以内の
破損・不具合は
無償で再治療
古賀市の歯医者 日高歯科医院での自費の詰め物・被せ物治療には、10年間の保証が付帯します。長くお使いいただけるよう、適合性と予防性を考えた精密セラミック治療を行いますが、万が一保証期間内に脱落・破損などが起きた場合は無償で再治療いたします。(条件あり)
保証についてCONTACT
過去受診したことがある方の無料相談や、セカンドオピニオンも対応(有料)

歯科治療は、大きく2つに分けられます
全国一律の治療費で
健康保険適用により費用負担を軽減して受けられる治療です。
ただし、治療法・治療に使う材料・治療にかけられる時間などが国により制限されているため、お口の状態やご要望に沿ったベストな治療を受けられない場合があります。
耐久性や見た目を重視した
自費治療には、健康保険が適用できません。治療にかかる費用は全額自己負担となるため、場合によっては治療費が高額になります。
治療内容や歯科材料に保険治療のような制限がないため、より高い審美性・機能性を追求でき、患者さんの症状や要望に最適な治療が可能です。

全ての患者さんが納得のいく治療を選択できるよう、古賀市の日高歯科医院ではカウンセリングを綿密に行い、どんな治療を望んでいるのか?を明らかにした上で、ご要望やご予算に沿って治療のご提案を行います。
一人で悩まず、まずはお気軽にご相談ください。
PRICE

人工ダイアモンドとも呼ばれるジルコニアという素材でつくる被せ物です。強度が非常に高いため、大きな負荷のかかる奥歯にも使用できます。白色で目立ちにくいですが、オールセラミックに比べるとやや審美性に劣ります。

セラミック素材でつくられる被せ物です。天然歯に近い自然な透明感があり、色調の再現に優れています。セラミックなので汚れや臭いの吸着がしづらく、変色も起きにくいのが特長ですが、硬いものを噛むと割れることがあります。

オーバーレイとは被せ物と詰め物の中間にあたるもので、歯の噛み合う部分周辺をセラミックで覆う治療法です。歯を大きく削る必要のある被せ物に比べて歯の切削量を抑えられるため、歯の健康な部分をできるだけ残したい場合に適しています。

部分的に歯を失った部分を埋めるセラミックの詰め物です。天然歯に近い色味と透明感があるため、見た目に影響しにくいことが特長です。強い力や衝撃が加わると割れる可能性があります。

主に前歯に使用される治療法で、歯のエナメル質を少量削り、薄い板状のセラミックを貼り付けることで歯の見た目を整えます。歯の健康な部分を残しつつ、自然な仕上がりにできます。薄く加工するため、インレーに比べると耐久性に劣ります。
PROCESS
ボタンをクリックして
治療内容を選択してください
受診
1回目

現在の歯や歯ぐき、顎の骨の状態を確認するため、レントゲンや口腔内写真の撮影などの検査を行います。

カウンセラーがお口のお悩みや希望の治療内容について、詳しくお話を伺います。歯科医師には言いにくいことや、素朴な疑問までなんでもご相談ください。
古賀市の歯医者 日高歯科医院では、患者さんのプライバシーを守るため個室のカウンセリングルームもご用意しています。

検査やカウンセリングの内容を元に、歯科医師が治療方針を検討しご提案します。いきなり治療に入ることはなく、事前に詳しい治療内容や、治療にかかる期間と費用などについても分かりやすくご説明しますので、ご安心ください。
受診
2回目

治療方針にご納得いただけたら、シェードテイクといって修復物の色味と天然歯の色を合わせるための確認作業を行います。

まずは疾患の原因を取り除くための治療を行います。
痛みを伴う治療においては、表面麻酔・浸潤麻酔の2ステップでしっかり麻酔を効かせてから行います。
必要に応じてマイクロスコープを活用し、虫歯(カリエス)を徹底的に除去したら、補綴物をしっかり接合できるよう歯の形を整えます。

治療が終わったら、補綴物を作製するための歯型を取ります。
古賀市の歯医者 日高歯科医院では、保険で使用する印象材とは違って変形しにくく高精度な「シリコン印象」と、プライムスキャン(ペン型の光学スキャナー)による「デジタル印象」を必要に応じて使い分けています。
歯型を技工所に共有し、歯科技工士が補綴物を作製します。
補綴物の完成までは約10日ほどかかるため、患部には仮蓋をして過ごしていただきます。
受診
3回目

仮蓋を外し、仕上がった補綴物を患部にセットします。
噛みごこちなどを確認しながら微調整を行い、補綴物に問題がなければ治療が完了です。
1日で
治療完了

現在の歯や歯ぐき、顎の骨の状態を確認するため、レントゲンや口腔内写真の撮影などの検査を行います。

カウンセラーがお口のお悩みや希望の治療内容について、詳しくお話を伺います。歯科医師には言いにくいことや、素朴な疑問までなんでもご相談ください。
古賀市の歯医者 日高歯科医院では、患者さんのプライバシーを守るため個室のカウンセリングルームもご用意しています。

検査やカウンセリングの内容を元に、歯科医師が治療方針を検討しご提案します。いきなり治療に入ることはなく、事前に詳しい治療内容や、治療にかかる期間と費用などについても分かりやすくご説明しますので、ご安心ください。

治療方針にご納得いただけたら、シェードテイクといって修復物の色味と天然歯の色を合わせるための確認作業を行います。

まずは疾患の原因を取り除くための治療を行います。
痛みを伴う治療においては、表面麻酔・浸潤麻酔の2ステップでしっかり麻酔を効かせてから行います。
必要に応じてマイクロスコープを活用し、虫歯(カリエス)を徹底的に除去したら、補綴物をしっかり接合できるよう歯の形を整えます。

治療が終わったら、補綴物を作製するための歯型を取ります。
1DAYトリートメントの場合はコンピューターで補綴物を設計するため、プライムスキャン(ペン型の光学スキャナー)による「デジタル印象」になります。

古賀市の歯医者 日高歯科医院では、セレックというCAD/CAM装置を使用することで最短1日で終わるセラミック治療を実現しています。
歯型のデジタルデータを元にミリングマシンと呼ばれる機器でセラミックブロックを切削し、補綴物をつくります。
仕上げの前に試しに装着して、噛み合わせのバランスなどをチェックします。
出来上がった補綴物を高温で熱することで、セラミック原料の粒子同士を結合させ、硬く丈夫に仕上げていきます。
色味の調整も行います。

仕上がった補綴物を患部にセットします。
噛みごこちなどを確認しながら微調整を行い、補綴物に問題がなければ治療が完了です。
CONTACT
過去受診したことがある方の無料相談や、セカンドオピニオンも対応(有料)
PAYMENT / WARRANTY
古賀駅近くの歯医者 日高歯科医院では、現金のほか、
クレジットカード・交通系電子マネー・QRコード決済など各種支払い方法に対応しております。



「アプラスデンタルローン」での分割払いにも対応。
月々無理のない返済額で矯正治療を始められます。
医療費控除とは、ご自身や生計を共にするご家族のために
医療費を支払った場合に受けられる、一定の金額の所得控除のことです。
歯科の自由診療は高価な材料を使用する場合が多く、
治療代が高額になることがあるため医療費控除の対象となります。
毎年1月1日〜12月31日に支払った分を翌年3月15日までに確定申告をすると、
医療費控除が適用されて税金が還付されます。
医療費控除の対象となる金額は、次の式で計算した金額(最高200万円)です。
医療費控除額(最高200万円)
=(支払った医療費の額 ー
保険金などで補てんされた額)ー10万円※
※所得金額の合計が200万円未満の人は、
所得金額の5%になります。
詰め物・被せ物の自費診療において、治療終了後5年以内に再治療が必要になった場合は、無償にて行います。
保証は最大で10年間有効です。
なお、6年目以降は下記のパーセンテージで治療費の一部をご負担いただきますので、ご了承ください。
※左右にスクロールしてご覧ください
